Mit 31 bekam Daniel Reifecker einen ICD, ein herzschrittmacherähnliches Gerät. Nun führt er mit einem Freund ein Restaurant - und erzählt, was ihm Mut gemacht hat.

Die Herzerkrankung war ein Schock - doch Daniel Reifecker lässt sich nicht davon abhalten, seine Träume zu verwirklichen. BILD: SN/SCHNABLER
Daniel Reifecker wird schwarz vor Augen. Gerade noch im munteren Treiben in der Restaurantküche beschäftigt, kippt der Koch um. Es ist nicht das erste Mal an diesem Tag. ,,Ich habe gedacht, es stimmt etwas mit meinem Kreislauf nicht", erzählt der gebürtige Salzburger, der damals noch im Restaurant Rote Wand Chef's Table am Arlberg als Souschef arbeitete. EKG, Blutdruckmessung und Blutbild beim Arzt geben vermeintlich Entwarnung: Die Werte seien hervorragend, es könne nichts Gröberes sein. Dem damals 31-Jährigen geht es dennoch zunehmend schlechter leidet unter plötzlichem Herzrasen, auf die er in Folge fast immer ohnmächtig wird.
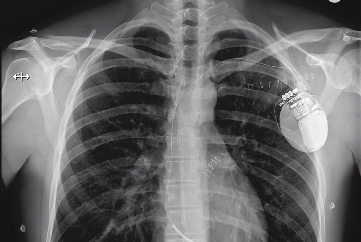
Im ersten Lockdown im März vorläufig 2020 kehrt Reifecker nach Salzburg zurück und nimmt auf Anraten im Bekanntenkreis Kontakt zum Kardiologen Gernot Muhri im Krankenhaus der Barmherzigen Brüder auf. Dieser entdeckt das Problem: eine gefährliche Herzrhythmusstörung und damit verbundenes Kammerflattern, die Vorstufe zum lebensbedrohlichen Kammerflimmern. In den folgenden zwei Monaten erhält Reifecker zwei Ablationen, die gefährlichen Leitungsbahnen werden dabei verödet. Die Magnetresonanztomographie (MRT) zeigt eine weitere Erkenntnis: Auf dem Herz sind zahlreiche Narben. Zunächst gehen die Ärzte davon aus, es handle sich um die Folgen einer Herzmuskelentzündung. Später finden sie heraus, dass Reifecker wohl unter einer Sarkoidose leidet, einer seltenen entzündlichen Erkrankung, die ähnlich wie Neurodermitis die Haut - die Organe des Körpers befällt. Der im Zuge der Ablation implantierte LoopRecorder bestätigt das Kammerflattern in Reifeckers Herz und so fällt die Entscheidung: Der junge Mann bekommt einen ICD implantiert, ein Herzschrittmacher-ähnliches Gerät.
ICD steht kurz für Implantable Cardioverter-Defibrillator. Es handelt sich dabei um jenes Gerät, das aufgrund des dänischen Fußballspielers Christian Eriksen durch die Medien ging. Auch Eriksen ist mit seinen 29 Jahren sehr jung, als er das Gerät in seine Brust als Reaktion auf Herzversagen implantiert bekommt. Das Gerät verfüge über zwei Funktionen, erklärt Daniel Reifecker. Während die Herzschrittmacherfunktion Herzrasen durch kleine Stromimpulse unterbrechen und das Herz in einen normalen Sinusrhythmus zurückbefördern kann, kommt die Defibrillatorfunktion erst im äußersten Notfall mit massiven Stromschlägen zum Zuge. Die Herzschrittmacherfunktion sei etwas unangenehm, aber nicht schmerzhaft, erzählt Reifecker. „Ich merke sie besonders in der Nacht, weil bei mir, wenn ich schlafe, manche Herzschläge ausbleiben. Ich wache dann auf." Das passiere etwa ein bis zwei Mal pro Woche.
Es sei am Anfang ein großer Schock für ihn gewesen, an einer Herzerkrankung zu leiden, erzählt Reifecker. „Ich habe wirklich Angst bekommen und mir kaum mehr etwas zugetraut." Doch der mittlerweile 33-Jährige fasst schließlich neuen Mut. Im Salzburger Stadtteil Aiglhof eröffnet er mit seinem Kollegen Jakob Schmid das Pop-up-Restaurant Das Schrei. Gemeinsam servieren die beiden Köche dort mittags Hotdogs und abends exklusive Sechs-Gänge-Menüs. Wenn er aufgrund seiner Erkrankungen Termine im Krankenhaus hat, können die beiden nun einfach zusperren. „Ich hoffe hier sehr auf das Verständnis unserer Kundinnen und Kunden." Es sei großartig, seinen Traum vom eigenen Lokal umzusetzen, erzählt Reifecker. ,,Wir machen alles selbst, vom Kochen über das Bedienen bis zum Putzen. Und wir machen es gern, weil es für unser eigenes Projekt ist."
Seit rund einem Jahr hat Reifecker wieder eine Freundin. ,,Ich habe mich erst nicht gerade unwiderstehlich gefühlt, so als herzkranker Typ. Aber sie gibt mir Selbstvertrauen." Er habe lang nach Idolen gesucht, die trotz ICD erfolgreich ihr Leben meistern - doch außer Sportlern nicht viele gefunden. „Ich habe also beschlossen, selbst das Vorbild zu sein und allen Menschen Mut machen: Ihr könnt euer Leben leben, auch mit ICD!" Denn es sei nicht immer leicht, mit den Sorgen um die eigene Gesundheit umzugehen. ,,Auf einmal wird einem bewusst, dass das Leben an einem seidenen Faden hängt, dass es so schnell vorbei sein kann. Das hat mich in Mark und Bein erschüttert und traumatisiert." Liebend gern habe Reifecker das psychotherapeutische Angebot bei einer Reha angenommen, ,,es ist wirklich wichtig, sich bei einem Herzleiden nicht nur körperlich, sondern auch psychisch helfen zu lassen". Bei einigen Mitpatientinnen und -patienten habe er das Gegenteil erlebt. ,,Ich hatte den Eindruck, dass manche schon resignieren. Das finde ich schade, denn es muss doch nicht sein." Er möchte einen Appell an alle Menschen mit Herzschrittmacher und ICD richten: ,,Denkt nicht, ihr könnt nichts mehr machen, und nehmt euch nicht zu weit zurück. Natürlich muss man auf sich achten, aber verliert eure Ziele und Träume nicht aus den Augen."

Von seinen Therapeutinnen und Therapeuten habe der Gastronom wertvolle Tipps erhalten, um mit den Angstzuständen, die ihn immer wieder überkommen, umzugehen. ,,Ich versuche dann, mich auf eine ruhige Atmung zu konzentrieren. Das ist eine wertvolle Strategie, um sich nicht ausgeliefert zu fühlen."
Künftig möchte sich Reifecker verhaltenstherapeutisch helfen lassen. ,,Ich merke manchmal, dass ich unbewusst Verhaltensformen annehme, die nicht meinem wahren Ich entsprechen, sondern nur aus Angst entstehen", erklärt er. Besonders habe er dabei das Schwimmen vor Augen - schon immer sei er gern im Wasser gewesen. „Und plötzlich überkommt mich dann die Angst, ich könnte einen Herzstillstand haben und einfach untergehen." Er sei daraufhin erst einmal zurück zum Ufer geschwommen - nur um den Schwimmgang zur Badeinsel kurzentschlossen erneut in Angriff zu nehmen. Die er auch erreichte, gesund, munter und stolz. „Das war mir wichtig, mir selbst zu zeigen: Ich bin noch immer ein freier Mensch, ich kann das!" - CHRISTINE GNAHN
ICD - implantierbarer Defibrillator
Beim Risiko eines lebensbedrohlich zu schnellen Herzschlags kommt ein implantierbarer Defibrillator, auch ICD genannt, zum Einsatz. Betroffen sind vor allem Patienten mit erheblicher Herzschwäche. Ähnlich wie Herzschrittmacher stimulieren ICD-Geräte die rechte Seite des Herzes, wobei es Ein- und Zweikammerversionen gibt. Zusätzlich wird der Herzrhythmus ständig überwacht. Sobald das Gerät eine Beschleunigung bemerkt, die ihren Ursprung in der Herzkammer hat, gibt es regulierende Impulse ab. Reichen die nicht aus, um den Rhythmus zu normalisieren, erfolgt ein Defibrillationsschock, um die Störung beseitigen.